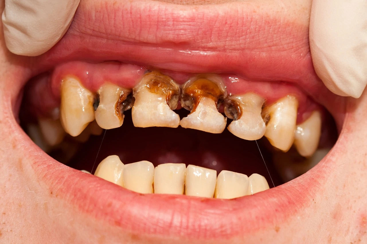
Cavities are one of the most common tooth diseases. Cavities are the damaged areas on the hard surface of your teeth. A cavity is a hole that forms when tooth decay tears the enamel. There are many causes of cavities such as bacteria in the mouth, eating junk food regularly, drinking sugary or carbonated drinks and not regularly brushing your teeth. If the cavity is not treated properly, it can get larger and may affect the deeper layer of your teeth.
What is an Untreated Cavity?
An untreated cavity means tooth decay which forms when the enamel wears down from the teeth, killing the protective layer. Gradually, untreated cavities will have many effects such as toothache, severe bacterial infection, tooth loss and brittle teeth. Tooth decay can happen to anyone if proper oral hygiene is not followed.

How Long Can You Leave a Cavity Untreated?
The duration of the cavity determines how long you can leave the cavity untreated. If the cavity is small, it can go without treatment for a few months or longer than that. If the cavity is big enough, it will need immediate attention from the dentist before causing infections which can lead to tooth loss. There are three types of cavities-
1. Smooth Surface- Cavities in their early stages. Usually show up on the enamel can typically go untreated for a few months or longer.
2. Pit and Fissure Decay- Cavities that form on the top part of the teeth. The part from which chewing typically happens. It tends to start when you're a teenager and progresses quickly.
3. Root Decay- Mostly found in adults. Adults who have receding gums are prone to root decay. It needs immediate medical intervention.
Consequences of Untreated Tooth Decay
Tooth decay is when the bacteria in your mouth is given ample time to reside there. In this duration the bacteria makes acid that damages the surface or enamel of your teeth. This leads to a small hole which is known as the cavity. If tooth decay is untreated it can cause pain, swelling, bad breath and infections, resulting in tooth loss.
Enamel erosion- Consumption of sugary substances comes in contact with decay-causing bacteria and forms acids which damages the tooth’s enamel.
Infections- If tooth decay is not treated it causes infections. When cavities form and become large, the bacteria sets in and these bacteria can cause severe infections.
Tooth Abscess- A cavity can cause dentin and roots to die from inside and bacteria in your mouth create an abscess around it. When tooth decay is left untreated for years, it causes tooth abscesses which can be painful and leave a discomforting feeling while chewing and swallowing.
Tooth Loss- If the cavity is not treated, tooth decay can spread out to a point where the dentist has to remove your teeth.
Gum Pain- Gum pain and swelling are very common when cavities start to reside in your teeth. Infected teeth may trigger swelling of the gums.
Specific Risks of Not Treating a Cavity
There are many risks associated with untreated cavities. If tooth decay is left untreated for years, then it causes:
Rapid growth- If a cavity is not treated, it grows rapidly and spreads out. The cavities can also deepen, affecting the root of the tooth and even hitting the nerves. Learn more about how to prevent cavities from spreading with our guide.
Unbearable Pain- If tooth decay is not treated, it can cause severe pain which will cause discomfort while chewing and swallowing.
Tooth Breakage- Cavities cause a hole in the tooth which leads to tooth decay, resulting in tooth loss.
Bacterial Infections- The growth of bacterial infections is on the rise when cavities are not treated.
Preventive Measures of Cavities
- Brushing your teeth regularly with a soft-bristle brush with an anti-cavity toothpaste.

- Avoid the consumption of sugary drinks or carbonated beverages.
- Regular flossing to get rid of food debris between the teeth.
- Regular dental visits to keep a check on your oral health.
See our comprehensive guide on how to prevent cavities here.
Early Treatments
Fluoride- Fluoride treatment can repair damaged enamel. This can reverse early signs of cavities.
Dental Fillings- Dental filling is a procedure wherein the dentist drills out the decayed issue and fills the hole.
Root Canal Therapy- Root canal therapy relieves the pain in advance. It is a relatively long procedure.
Conclusion
Proper oral hygiene, regular brushing and flossing can get rid of plaque and cavity-causing bacteria. Visit your dentist every 6 months and keep your oral health in check.
Frequently Asked Question About Untreated Cavities:-
1. What happens if a cavity is left untreated?
Answer- You feel pain while chewing, swelled-up gums, bacteria build up in your mouth, and infections resulting in tooth loss.
2. Should I be worried if I have a cavity?
Answer- Yes, cavities should be treated seriously. If a cavity is left untreated it can cause many severe oral health issues.
3. Can a cavity heal itself?
Answer- No, cavities don’t reverse themselves naturally. You have to get in touch with a dentist to fill in the cavities.
4. How long can you leave a cavity untreated?
Answer- Small cavities may not cause any pain or discomfort for a few months or longer but larger cavities need immediate medical attention.