When we consume bright-coloured food or acidic drinks, our teeth are affected as the food and drinks leave an unwanted layer of stains on the surface of the teeth. Tooth stains can be removed easily by practising a regular oral health regime. But there are many cases where the stains become hard to remove easily and that is where tooth whitening comes into the picture.
Tooth whitening is a process that dentists use to remove the coloured stain from the enamel of your teeth. There are several methods of tooth whitening such as in-office whitening, dental bonding, veneers and laser tooth whitening.
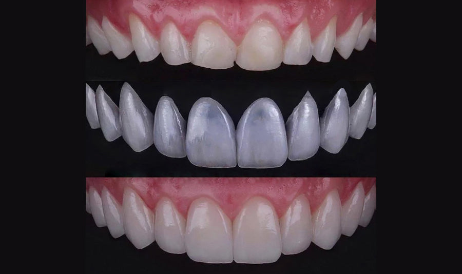
Understanding Veneers, Crowns, and Oral Implants
Dental Veneers, crowns and oral implants are modern-day treatments to improve your teeth’s appearance.
Dental Veneers- Veneer whitening is a thin shell that covers the surface of the teeth and gives them a whiter appearance. Veneer whitening is a less destructive process than crowning of teeth because they don’t require filling and grinding. Veneer whitening lasts for 10-20 years. However, there is no teeth whitening process for veneer so you cannot whiten veneers with traditional or professional methods.
Crowns- Crowns or caps are used to cover the damaged tooth or protect the enamel of the teeth. Crowns are typically used when the tooth is too broken to be fixed by veneer or bonding. Crowning usually requires dental supervision because the dentist needs to do a filling and grinding and usually lasts for 6 to 15 years. However, you cannot whiten the crowns. These will not be brighter than their usual colour.

Why Might Tooth Whitening Be Considered?
Tooth whitening has become one of the most popular dental procedures. It is done mainly to remove hard stains from the teeth and to protect the enamel and gums. Tooth whitening can be done with crowns, dental veneers and even home remedies.
Remove stains- Tooth whitening is primarily considered when you get hard stains which don’t come off easily with natural remedies. You can use crowns, veneers and dental bonding.
Improve oral health- To improve your oral health, you can opt for tooth whitening as it protects your teeth by giving a layer to the enamel and gums.
Boost appearances- Having shiny, whitened teeth boosts your confidence and gives you a flawless appearance. Teeth whitening removes all the stains caused by drinking coffee, aerated drinks and eating bright-coloured food.
Affordable- The tooth whitening procedure is relatively more affordable than other dental processes.
Considerations Before Whitening
Dentists may recommend tooth whitening when the gums are weakened, tooth sensitivity and thinning of enamel. It is an easy process to be done at affordable rates. However, there are certain things to consider before going in for whitening your teeth.
Consult with your dentist- Before opting for tooth whitening, consult your dentist to evaluate your oral health and to understand how to proceed.
Oral health assessment- If there are any underlying oral issues, your dentist will inform you before the process.
Whitening Method- Depending upon the condition of your teeth, the dentist will recommend the methods which are best suited for you to proceed.
Avoid foods & drinks- You must avoid food and drinks that can stain your teeth at least a week before whitening treatment.
No Smoking- You should stop smoking and drinking alcohol before your whitening process.
Consulting with a Dental Professional
Consulting with a dentist for teeth whitening treatment is crucial to understand which method to adopt. There are several methods which dental professionals use in the modern day.
Veneer Method- In this method, the surface of teeth is covered with a thin layer that gives a whitened appearance. Veneer is the easiest process comparatively but if you stain your veneer-covered teeth, you will have to replace them altogether. Dentists will not recommend bleaching of veneer after it has been put on. Bleaching veneer will not give any further brightened teeth than they already are.
Crown method- The crown method is used when the tooth is already damaged. This method will cover the damaged area and give a protective layer to enamel. It usually lasts for 6-15 years. However, dental professionals will inform you prior that you can not whiten the crown if stained after treatment. You will need to replace it rather than whiten it. Whitening a dental crown is usually not possible but the dentist can whiten the existing tooth to a closed match.
Over-the-counter products- Before purchasing any products for teeth whitening, it is advisable to consult with your dentist.
Long-Term Care and Maintenance
Teeth whitening treatment can give you flawless white teeth but maintaining it is equally important. For care and maintenance of teeth whitening results, you must
Brushing Regularly- Having a proper oral health routine is the key. Brush regularly, floss, use mouthwash and rinse your mouth after every meal. Use Perfora’s Sonic Electric Toothbrush for better care.

Avoid stained food and drinks- Avoid having meals which can stain your teeth because it won’t be possible to bleach the veneers or whiten dental crowns after they get stained.
Say No to Smoking- Avoid smoking and alcoholic drinks to maintain the white teeth. Smoking and drinking leaves an unwanted layer of stain.
Visit your dentist- Go for regular dental visits to keep your teeth healthy. Regular touch-ups can help maintain your treatment for a long period.
Conclusion
The teeth whitening process is the easiest process and can be done with very little time. The teeth whitening process usually lasts for about 10 years. There are several methods of teeth whitening such as crowning, veneers, in-office treatment and over-the-counter products. However, there are no teeth whitening treatments for veneers and crowns once installed. Therefore, you will have to maintain the whitened teeth very carefully with a proper oral health regime.
Frequently Asked Questions
1. Can crowned teeth be whitened?
Answer- No, you cannot whiten dental crowns because most of the crowns are made of porcelain and thus the bleaching cannot whiten the crown. However, you can get your teeth whitened first and then put on the crown.
2. What is the best way to whiten crowns?
Answer- There are not any ways to whiten your crown. You can either whiten your teeth and put on the crowns or replace the crowns with new ones.
3. Will baking soda whiten crowns?
Answer- No, baking soda can not whiten dental crowns rather it can damage the crown. Baking soda can damage the glaze of the crown and make it prone to stains.
4. How to whiten crowns DIY?
Answer- Whiten crowns cannot be restored with any DIY as they are made up of inorganic materials. Therefore, they do not respond to any bleaching or DIY remedies.